大森駅徒歩2分の歯医者 土曜診療

大森駅徒歩2分の歯医者 土曜診療

WEB予約

WEB予約

電話

03-5764-5555

口腔外科

口腔外科
  1. TOP
  2. 診療案内
  3. 口腔外科

このような症状があれば歯科口腔外科へご相談ください

  • 唇や頬をケガした
  • 舌の痛み、痺れ、違和感
  • 口の中にニキビみたいなものがある
  • 口内炎を繰り返す
  • 痛みで口が大きく開けられない
  • 顎からポキポキ音がする
  • 親知らずが痛い

歯科口腔外科で扱う主な病気

  • 親知らずの炎症や抜歯
  • 埋まって生えてこない歯
  • 顎関節症(顎の痛み・音・開口障害)
  • 顎・口周りの外傷
  • 口内の粘膜・舌・唇などの違和感
  • 腫瘍や膿 など

親知らずの意味って?

親知らずのある口腔内

親知らずは、大人の歯の中でもっとも奥に生えてくる8番目の歯です。正式名称は、第三大臼歯といい、「智歯(ちし)」とも呼びます。

一般的に親知らずは15歳前後で生えてきますが、20代前半になってから生え始めることも(参照:厚生労働省 e-ヘルスネット「親知らず」より)。お口の中を保護者の方がみる機会が少なくなる時期で、歯が生えたことを知られることがないことから「親知らず」という名前がついています。

上の左右奥に1本ずつ、下の左右奥に1本ずつと最大で合計4本生えてきます。ただし、必ず生えてくるわけではなく、生まれつき親知らずがない方や、1~2本だけ生えてくる方もおり、個人差があるのが特徴です。

親知らずの炎症「智歯周囲炎」

智歯周囲炎とは
親知らずが原因で周りの歯ぐきや顎の骨に炎症が起こる炎症のことです。痛みや膿が出ることがあります。
原因
真っすぐに親知らずが生えずに、斜めに生えたり、埋まっていたりする親知らずの場合は、歯と歯の間に隙間ができます。こうなると、歯の汚れをきれいに落としきれずに、細菌の温床となって炎症を引き起こすのです。
リスク
放置すると、口臭・口が開かなくなるなどのリスクがあるため、早めに歯科医院へ受診しましょう。
治療
歯のクリーニングを歯科医院で行えば、腫れは1~2週間ほど治まりますが、痛みなどの症状によっては抗生物質の服用が必要なことがあります。

親知らずが出てきた!抜いた方がいい場合

親知らずが横を向いて生えてきた口腔内
  • 親知らずが斜めに生えてきた
  • 手前の歯にぶつかって全然生えてこない
  • 歯ぐきの腫れや痛みを繰り返している

親知らずが横・斜めに生えている場合は、歯ぐきの腫れや手前の歯がむし歯・歯周病になるリスクが高まります。トラブルを引き起こす前に、このような親知らずがあれば、早めに抜歯することをおすすめします。※ただし、服用中の薬によっては、主治医への確認が必要・服用を止めなければならない場合があるのでお早めに相談ください。

早めに抜歯したほうがいい理由

  • 親知らずの手前の歯がむし歯・歯周病になるリスク
  • 歯ぐきの腫れや痛みを繰り返す
  • 妊娠によりホルモンの変化があると腫れる
  • 歯と骨が癒着して骨を削る必要性が高い
  • 年齢を重ねると抜歯の際の腫れや痛みが長引く

親知らずを抜かない方がいい場合

親知らずが真っ直ぐに生えている口腔内
  • 親知らずが真っすぐに生えていて清掃状態もいい場合
  • 上下の歯がしっかりとかみ合っている場合

以上のように正常に生えている親知らずは、これからも使用できます。

顎関節治療

マウスピース
  • 顎が痛い
  • 顎からポキポキ音する
  • 口が大きく開かない など

顎関節症は、顎の関節とその顎に関連する筋肉の病気です。生活習慣やストレス、外傷などが原因ではないかといわれていますが、はっきりした原因は、不明です。

ただし、顎の関節の位置はかみ合わせにより変化するため、診断・治療では「かみ合わせ」がポイントとわかっています(参照:厚生労働省 e-ヘルスネット「顎関節症とは(特徴・分類など)」より)。

そこで大森わたなべ歯科の治療では、かみ合わせの調整、生活習慣の改善を行います。また、「ナイトガード」というマウスピースの装着で症状の緩和をしましょう。

重症になると外科手術が必要となることもあります。痛みが1週間以上続いている場合は、歯科口腔外科へご相談ください。

歯ぎしり・食いしばり

  • 朝起きると顎が疲れている
  • 歯がすり減っている
  • 就寝中の歯ぎしりを指摘された
  • 集中しているときに歯を食いしばる など

口内炎・口腔がん

口内炎のある唇の内側
  • 舌や歯ぐきが赤または白に変色
  • 硬いしこりがある
  • 腫瘍 など

口腔がんはお口の中にできる悪性腫瘍です。発生する部分により、舌がん・口底がん・歯肉がん・頬粘膜がんと呼び方が変わります。手術療法・放射線療法・抗がん剤を、単独あるいは組み合わせた治療をします。歯科口腔外科では、口内炎と舌癌の違いを診断することが可能です。

外傷

唇に怪我をした女性

お口周りのケガは歯科口腔外科で治療が可能

  • 舌を噛んで出血した
  • 唇が切れたなどのお口周周りのケガ

歯が抜けてしまったとき

  • スポーツ時の衝撃で歯が折れた
  • 転んで歯が欠けた

折れた部分を元に戻すことができる可能性があるため、まずは折れた歯の破片をお探しください。

歯が折れたり抜けたりした場合は、まずは歯の破片や抜けた歯を探しましょう。見つかったら、乾燥しないようにお口の中(唾液)で保存する・牛乳に漬ける・歯の保存液に入れて、早めにご連絡して来院ください。歯を保存できる時間が決まっており、時間が経過すればするほど、元に戻せる確率が低くなります(参照:スポーツ庁「17:スポーツマウスガードの効果と歯・口の外傷等の予防」より)。ただし、頭をぶつけた場合は脳外科の検査・診断を優先しましょう。

日本口腔インプラント学会 認定医 / 厚生労働省認定臨床研修指導医

大森わたなべ歯科院長:渡邊 正紘

大森わたなべ歯科院長:
渡邊 正紘 -Masahiro Watanabe-

「お口の中やお顔周りのケガ、インプラント治療のご相談を承ります」

日本口腔インプラント学会 認定医は、5年以上学会に在籍・専門医教育講座を3回以上受講・本会学術大会又は支部学術大会において2回以上発表などをクリアした歯科医師で委員会が申請資格を有すると認めた者のみに与えられ、取得後も5年毎に更新が必要な資格です。インプラントは歯科口腔外科の分野に分けられます。

厚生労働省認定臨床研修指導医は、2年以上の臨床研修が必須で、将来専門とする分野にかかわらず、基本的な診療能力を身に付けることができるものでなければなりません。臨床研修終了後も研修等の生涯教育をする必要がある資格です。

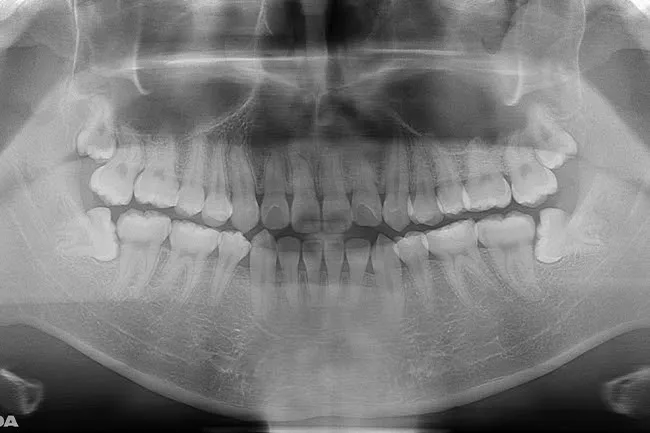
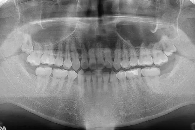
歯科口腔外科の症例

Access

アクセス

通いやすさも、信頼のひとつ。

お仕事帰りやお買い物のついでにも
立ち寄れる便利な立地です。

医院名
大森わたなべ歯科
診療時間

月・火・金は10:00~13:00、14:30~19:00

水・土:9:00〜13:00、14:00〜17:00

休診日
木曜・日曜・祝日
住所

〒143-0016
 東京都大田区大森北1丁目8−13
カスタリア大森II 2階

TEL
03-5764-5555
WEB予約
WEB予約
電話
03-5764-5555