むし歯
虫歯治療とは?

口の中にいる細菌が食べかすなどに含まれる糖質を取り込んで酸をつくり、歯を溶かしてしまう細菌感染の病気のことを「むし歯」といいます。
歯は、皮膚や髪の毛などと違い、一度削ったり抜いたりしてしまうと再生できません。入れ歯・ブリッジ・インプラントなどで、元の歯のように形を作ることはできますが、噛み心地や耐久性、見た目は天然の歯にはかなわないのです。
「食べ物を食べる」「発音を助ける」「表情を豊かにする」など、生活する上で重要な歯を守るために、むし歯の早期発見・早期治療を心がけましょう。
むし歯の原因
歯は、食事などで口の中が酸性になり自然と溶けだす性質と、唾液の作用によって再石灰化する性質を持っています。
この両方のバランスが保たれていればむし歯になりませんが、お口の中に食べかすやみがき残しがあると、菌が歯を溶かすことを促進させてしまいます。
下記の4つの条件がそろうとバランスが乱れやすくなってしまうので、注意が必要です。
-
条件1:
溶けやすい弱い歯質
-
条件2:
酸を作り出す細菌
-
条件3:
細菌のエサになる糖分
-
条件4:
時間の経過
むし歯の進行
初期の自覚症状はほとんどなく、痛みやしみるなどを感じたときには進行していることが多いです。
この両方のバランスが保たれていればむし歯になりませんが、お口の中に食べかすやみがき残しがあると、菌が歯を溶かすことを促進させてしまいます。
下記の4つの条件がそろうとバランスが乱れやすくなってしまうので、注意が必要です。
-
C1(初期のむし歯)
歯の表面のエナメル質が溶けた状態です。小さな黒ずみができますが、自覚症状もなく、気づかないことが多いです。症状により、患部を削って詰め物をする治療を行います。
-
C2(エナメル質下のむし歯)
エナメル質の下の象牙質まで溶けた状態です。冷たいものがしみることがあります。患部を削って詰め物や被せ物をする治療が必要です。
-
C3(神経に達したむし歯)
歯の奥の神経までむし歯が進行した状態です。刺激がなくても痛みを感じます。歯の状態により、神経を洗浄する治療か、神経を抜く治療を行います。歯の保存が難しい場合は抜歯の可能性があります。
-
C4(歯根のみ残存)
歯の上の部分が溶けきり、歯の根だけが残った状態です。神経が死んでしまい、痛みなどは感じません。歯を残せる状態ではないので、抜歯を行い、入れ歯などの義歯で補います。
歯は治療を重ねていくと、歯そのものが弱くなってしまいます。気づいたときにしっかりと治療して、再発や新たな発症を防ぐことが大切です。

詰め物・被せ物について

治療の際に使われる詰め物や被せ物にはさまざまな種類があり、白い素材で治療跡を目立たなくさせることもできます。また、金属を使わない白い素材は、金属アレルギーの心配もありません。
ご希望やご予算に合わせてご提案いたしますので、ご相談ください。
むし歯の予防

むし歯にならないようにするためには、食生活の改善が効果的です。歯が再石灰化する時間をきちんと保つことや、細菌のエサとなる甘いものを食べ過ぎないようにすることが大切です。
治療を終えても、一度むし歯になってしまった歯はまたむし歯になってしまう可能性が高くなってしまいます。
また、自分で行う「セルフケア」と歯科医院で行う「プロフェッショナルケア」が重要です。どちらもしっかりと、定期的に行うことで歯をむし歯から守りましょう。
-
セルフケア

ブラッシング
歯みがきは基本的な、とても重要なセルフケアです。歯並びは1人1人違うため、自分に合ったブラッシング方法を歯科医師や歯科衛生士から聞くと効率的に歯の汚れを取り除くことができます。

デンタルフロス
歯ブラシでは届かない歯と歯の狭い隙間に入り、汚れをかき出すことができます。いつもの歯みがきとあわせての使用がおすすめです。

フッ化物の利用
歯みがき粉や洗口液にフッ化物が含まれているものを使用することもケアの1つです。歯の脱灰を抑制して、再石灰化を促す効果がアップします。
-
プロフェッショナルケア

クリーニング
歯科医院専用の器具を使い、歯みがきだけでは落とし切れない歯垢、歯石、バイオフィルム(細菌の膜)を除去します。タバコやコーヒーなどによる軽度の着色も、白くすることが可能です。

シーラント
お子さん向けの予防方法で、奥歯などの溝の深い部分をフッ素入りの歯科用プラスチックで埋めます。溝に汚れがたまることを防ぎ、むし歯のリスクを軽減できます。

フッ素塗布
歯科医院では、自宅用の歯みがき粉に入っているよりも高濃度のフッ素を塗ることができます。歯の質を強化し、再石灰化を促す効果が期待できます。
当院ではマイクロスコープを導入しています
むし歯の症例
-
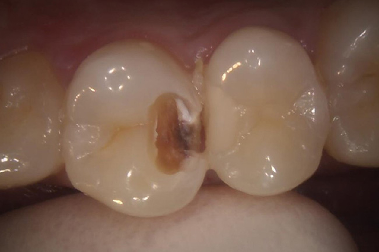
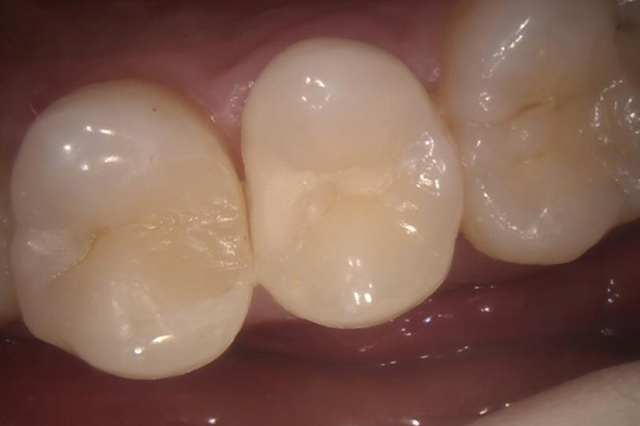
Case.1
Before
After
- 主訴
- 詰め物を白くしたい
- 治療期間
- 約2週間
- 治療費
- 77,000円
- 治療内容
-
- 銀歯の下にむし歯があったため、除去
- ジルコニアインレーを作成して調整し、装着
- 治療のリスク
-
- 銀歯ほどではありませんが、メンテナンスを怠ると詰め物と歯のすき間からむし歯が発生する可能性があります
- 歯ぎしりや食いしばり、噛む力が極度に強いと割れることがあります
-
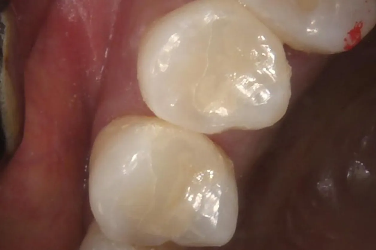
Case.2
Before
After
- 主訴
- 冷たいものがしみる
- 治療期間
- 約1か月
- 治療費
- 77,000円×2本
- 治療内容
-
- レントゲンにより、歯と歯の間にむし歯を確認
- むし歯を除去し、ジルコニアインレーを作成、装着した
- 治療のリスク
-
- 銀歯ほどではありませんが、メンテナンスを怠ると詰め物と歯のすき間からむし歯が発生する可能性があります
- 歯ぎしりや食いしばり、噛む力が極度に強いと割れることがあります
-
Case.3
Before
After
- 主訴
- 歯に穴が開いた
- 治療期間
- 60分
- 治療費
- 55,000円
- 治療内容
-
- 非常に深いむし歯があったため、マイクロスコープにて慎重にむし歯を除去
- ハイブリッドセラミックにて修復した
- 治療のリスク
-
- 神経に近いため、術後に強い痛みが続くようであれば神経を取る必要がある
- 割れるようであればジルコニアインレーに替える必要がある
- メンテナンスを怠ると詰め物と歯のすき間からむし歯が発生する可能性がある
-
Case.4
Before
After
- 主訴
- 詰め物が取れた
- 治療期間
- 60分
- 治療費
- 55,000円
- 治療内容
-
- 取れた詰め物の下がむし歯になっており、マイクロスコープにて慎重にむし歯を除去
- ハイブリッドセラミックにて修復した
- 治療のリスク
-
- 神経に近いため、術後に強い痛みが続くようであれば神経を取る必要がある
- 割れるようであればジルコニアインレーに替える必要がある
- メンテナンスを怠ると詰め物と歯のすき間からむし歯が発生する可能性がある
-
Case.5
Before
After
- 主訴
- 歯に穴が開いた
- 治療期間
- 60分
- 治療費
- 55,000円
- 治療内容
-
- 非常に深いむし歯があったため、マイクロスコープにて慎重にむし歯を除去
- ハイブリッドセラミックにて修復した
- 治療のリスク
-
- 神経に近いため、術後に強い痛みが続くようであれば神経を取る必要がある
- 割れるようであればジルコニアインレーに替える必要がある
- メンテナンスを怠ると詰め物と歯のすき間からむし歯が発生する可能性がある
-
Case.6
Before
After
- 主訴
- 歯と歯の間に物がつまりやすい
- 治療期間
- 60分~
- 治療費
- 55,000円×2本
- 治療内容
-
- レントゲンにより、歯と歯の間にむし歯を確認
- マイクロスコープにて慎重にむし歯を除去
- ハイブリッドセラミックにて修復した
- 治療のリスク
-
- 術後に強い痛みが続くようであれば神経を取る必要がある
- 割れるようであればジルコニアインレーに替える必要がある
- メンテナンスを怠ると詰め物と歯のすき間からむし歯が発生する可能性がある
Access
アクセス
通いやすさも、信頼のひとつ。
お仕事帰りやお買い物のついでにも
立ち寄れる便利な立地です。
- 医院名
- 大森わたなべ歯科
- 診療時間
-
月・火・金は10:00~13:00、14:30~19:00
水・土:9:00〜13:00、14:00〜17:00
- 休診日
- 木曜・日曜・祝日
- 住所
-
〒143-0016
東京都大田区大森北1丁目8−13
カスタリア大森II 2階 - TEL
- 03-5764-5555