ホワイトニング

歯科のホワイトニングは、ホワイトニング薬剤を使用して、歯の黄ばみを内部から漂白して歯を白くする方法です。歯科では、薬事法により医療機関のみが取り扱える漂白作用のある薬剤を使用するため、歯本来の自然な白さを取り戻せます。
当院では、ライフスタイルにより、歯科医院で行う「オフィスホワイトニング」とご自宅で行う「ホームホワイトニング」から選択が可能です。ホワイトニングの効果は、着色の状態などにより個人差があります。遅くてもイベントなどのご予定の1ヶ月前にはご相談ください。
ホワイトニングがおすすめの人
- 結婚式や成人式など大切なイベントを美しい笑顔で迎えたい方
- 年齢とともに黄ばんだ歯を白くしたい方
- 営業・販売・接客などの仕事をしている方
- 採用面接やオーディションなどが控えている方
- たばこ、コーヒー、ワインなどを好み着色がある方
なぜ歯は黄色くなるの?
歯が黄色くなる要因は「外因性」「内因性」の2つに分けられます。
-
外因性の黄ばみ
歯の表面の着色が沈着して、茶色や黒のまだらにみえるのが特徴です。
- 飲食
- お茶やコーヒー、赤ワイン、チョコレート、カレーなど着色しやすい食品。特に、ブルーベリーなどポリフェノールが含まれる食品は着色の原因です(参照:厚生労働省「抗酸化物質」より)。
- 喫煙
- たばこに含まれるタール(たばこのヤニ)が黄ばみの原因です。加熱式たばこも注意しましょう(参照:厚生労働省「タール」より)。
-
内因性の黄ばみ
歯全体が黄色や黒っぽく見えるのが特徴です。
- 加齢
- 歯の表面は白い「エナメル質」、その内側は黄色っぽい「象牙質」があります。年齢とともにエナメル質は薄く、象牙質は厚くなる傾向があり、内側の黄色が透けるため、歯が黄ばんで見えるのです。
- 薬剤の副作用
- 幼少時にテトラサイクリン系の抗生物質を服用すると、歯が変色することがあります。
- 生まれつき
- 胎児のときにすでに歯が形成されはじめるのですが、何らかの影響でエナメル質の形成がうまくいかない場合があります。エナメル質の形成がしっかりしていないと、歯が黄ばんだり、茶色っぽく見えたりします。
ホワイトニングの種類~薬剤・効果・期間の違い~
当院では、歯科医院で行う「オフィスホワイトニング」とご自宅で行う「ホームホワイトニング」の2つをご用意しております。使用する薬剤や効果、期間に違いがありますので、ご希望に合う方法を選択しましょう。
-
オフィスホワイトニング
- 場所
- 歯科医院に通院していただき、国家資格を持つ歯科医師または歯科衛生士による施術を受けていただきます。
- 薬剤
- 医療機関でのみ取り扱い可能な高濃度のホワイトニング薬剤を使用します。
- 施術
- 1回60分程度の施術を3~5回。1ヶ月程度続けると効果的です。患者さんのお顔立ちや年齢を考慮して、自然な歯の色をご提案します。
- 効果
- 1回の施術で「白くなった!」と実感できる方もいるほど、即効性のある方法です。
- 持続期間
- 歯の白さは3ヶ月~6ヶ月で徐々に元に戻ります。白さを持続するには、リタッチ(再度ホワイトニングを行うこと)をおすすめしています。
-
ホームホワイトニング
- 場所
- ご自宅や会社など好きな場所・タイミングでホワイトニングができます。空き時間や歯科医院に行く時間をつくれない方におすすめです。ただし、最初に専用のマウスピースを製作するための歯の型取りは歯科医院で行います。
- 薬剤
- 低濃度の薬剤のため、時間をかけて歯の内部までじっくり染み込ませるのが特徴です。
- 施術
- 毎日2時間程度、専用のマウスピースを装着していただきます。
- 効果
- 2~3週間は継続することで、白さを実感できます。
ホワイトニングの効果を長持ちさせるリタッチとは?
ホワイトニングで白い歯を手に入れても、永遠には持続できません。オフィスホワイトニングの場合は3~6ヶ月くらい、ホームホワイトニングの場合は8~10ヶ月くらいで歯の色が徐々に元に戻ります。
歯の白さを長持ちさせるためには、ホワイトニング効果が薄れてきたころに、再度ホワイトニングを定期的に受けるのをおすすめします。この方法を「リタッチ」や「タッチアップ」と呼びます。完全に歯の色が元に戻る前に、行うのがポイントです。初めてホワイトニングをしたときよりも、即効性があり短期間で歯を白くできます。
ホワイトニングの注意事項
ホワイトニングの効果や持続期間、施術期間には個人差があります。
むし歯や歯周病などが発見された場合は、ホワイトニングの施術前に治療を優先します。
治療中や治療後は歯がしみることがあります。知覚過敏は一過性ですので、数日で改善します。
以下の方はホワイトニングをお断りしております
-
無カタラーゼ症の方
ホワイトニング薬剤に含まれている「過酸化水素」を分解する酵素がないため禁忌です。
-
エナメル質形成不全・象牙質形成不全の方
歯が未発達の場合、ホワイトニング薬剤の影響で歯の神経にダメージを与えることがあります。
-
入れ歯・被せ物・インプラントなど人工歯の方
人工歯はホワイトニングでは白くできません。
-
むし歯や重度歯周病の方
症状が悪化したり、歯が強くしみたりすることがあります。まずは、ホワイトニングの施術より治療を優先しましょう。
-
内因性変色などのある方
乳幼児にかかった病気、神経を抜いた歯、薬剤の副作用(テトラサイクリン系の抗生物質)、加齢による黄ばみが濃い方は、希望通り白くならないことがあります。
-
妊娠中、授乳中の方
薬剤を用いるため、赤ちゃんの安全性を考慮してホワイトニングは控えましょう。
ホワイトニングの症例
-
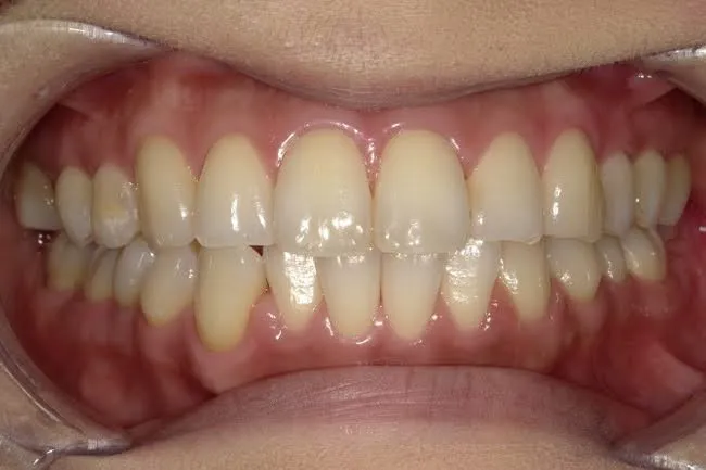
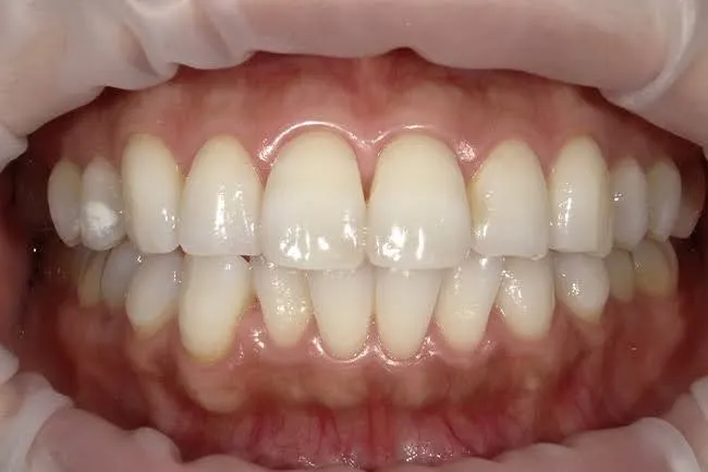
Case.1
Before
After
- 主訴
- 歯を白くしたい
- 治療期間
- 90分
- 治療費
- 27,500円
- 治療内容
- オフィスホワイトニング(一回)
- 治療のリスク
- ホームホワイトニングに比べ即効性はあるが、何回かやらないと変化が少ない場合がある。薬剤により歯がしみることがあります。脱灰部がより白く目立つことがあります。人工物の色は変わらないため、ホワイトニングが進むにつれて差が際立ってきます。
-
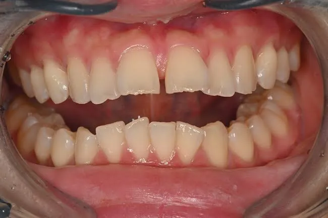
Case.2
Before
After
- 主訴
- 歯を白くしたい
- 治療期間
- 2週間~
- 治療費
- 37,500円
- 治療内容
- ホームホワイトニング(最初の2週間は毎日、その後数か月に一回ほど断続的に1年間継続)
- 治療のリスク
- オフィスホワイトニングほど即効性はないが、薬液を購入すればやる回数や時期を調整できる。薬剤により歯がしみることがあります。脱灰部がより白く目立つことがあります。人工物の色は変わらないため、ホワイトニングが進むにつれて差が際立ってきます。
Access
アクセス
通いやすさも、信頼のひとつ。
お仕事帰りやお買い物のついでにも
立ち寄れる便利な立地です。
- 医院名
- 大森わたなべ歯科
- 診療時間
-
月・火・金は10:00~13:00、14:30~19:00
水・土:9:00〜13:00、14:00〜17:00
- 休診日
- 木曜・日曜・祝日
- 住所
-
〒143-0016
東京都大田区大森北1丁目8−13
カスタリア大森II 2階 - TEL
- 03-5764-5555